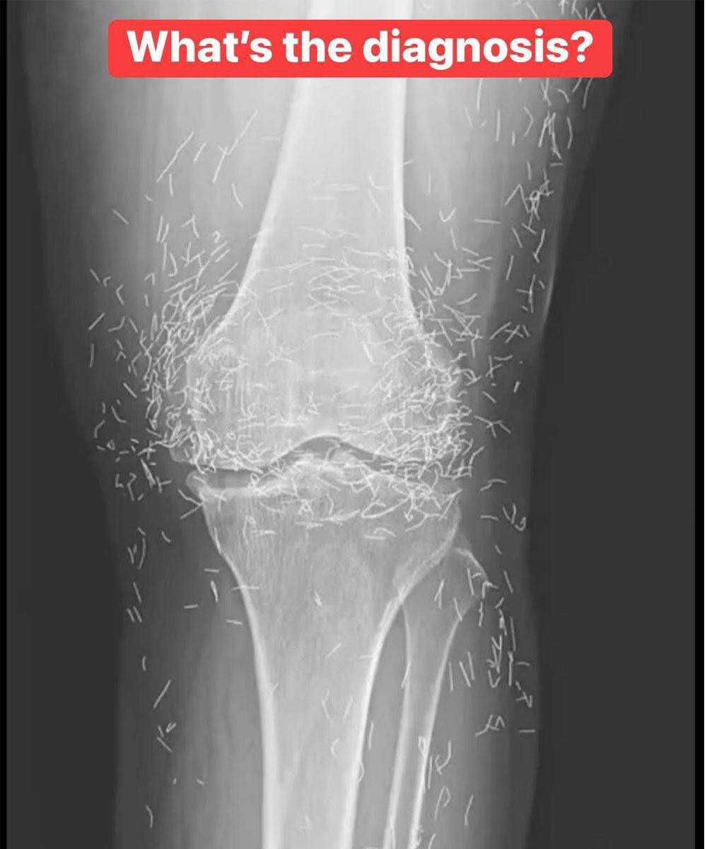
As doctors examined an X-ray image of the knees of an old woman experiencing severe joint pain, they found a gold mine: hundreds of tiny gold acupuncture needles left in her tissue.
The 65-year-old woman from South Korea had previously been diagnosed with osteoarthritis, a condition in which the cartilage and bones within the joints degrade, causing pain and stiffness. However, when pain relievers and anti-inflammatory drugs didn’t alleviate the pain in her knees and only caused stomach discomfort, she had turned to acupuncture, the doctors wrote last week in the New England Journal of Medicine.
Acupuncture is an alternative medical practice that uses needles in order to purportedly stimulate certain points on the body, to alleviate pain or to treat a variety of diseases.
In the woman’s acupuncture treatment, the needles, which were presumably made of gold, were intentionally left in her tissue for continued stimulation, the report says.
Still, leaving the needles, or any objects, in the body may not be such a good idea, according to Dr. Ali Guermazi, a professor of radiology at Boston University, who wasn’t involved with the case. Foreign objects left inside the body can lead to inflammation, abscesses and infection.
It could also make it hard for a doctor to read an X-ray. “The needles may obscure some of the anatomy,” Guermazi said.
